(Hong xia / Shutterstock.com)
The advancement computing power and the technological ability that comes with it has been absolutely incredible in the past few decades.
Countless parts of our lives have been changed for ever by computers and one tech field that shows unbelievable promise for the future is that of Artificial Intelligence (AI).
AIs are already helping to keep kids safe, help farmers maximize their crops, and prevent instances of self harm.
Now, cardiologists are using the technology to help diagnose heart disease.
Researchers from the John Radcliffe Hospital in Oxford, England, created Ultromics, a system that increases the chances of catching heart disease, and it’s already proven to be more accurate than human cardiologists.
In the medical community alone, AI advancements could impact public health on a massive level.
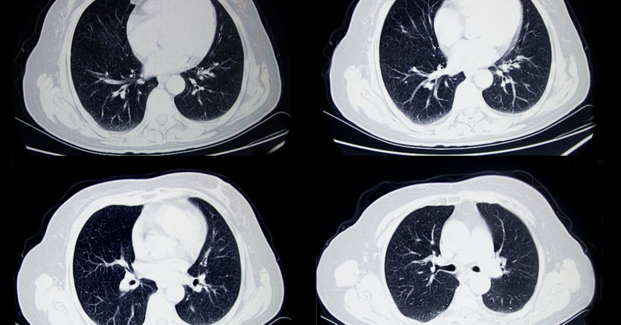
Optellum, a machine learning startup, is bringing an AI system that detects lung cancer to the masses.
The system analyzes cell clumps in scans, and Timor Kadir, the company’s chief science and technology officer, said that it could diagnose close to 4,000 patients with lung cancer per year at an earlier stage than a doctor could.
The technology would serve as a reliable tool for doctors to help them begin the healing process quicker and more efficiently, saving thousands of lives with every use.
YOU MIGHT ALSO LIKE:
Why Eating Healthy To Fight Cancer Is A Recipe For Success
This App Can Detect Pancreatic Cancer From a Simple Selfie
A Match Made in Heaven: Connecting Volunteers with Cancer Charities

